こんにちは。
季節の変わり目で暖かい日と寒い日の差が激しいですね。
体調を崩さないようにご注意ください。
さて、ここ最近遠方からの初診の方や歯科医療従事者からの問い合わせが非常に増えております。
また初診数増加に伴い、急患対応も多くなってまいりましたので、再度ご案内させていただきます。
【当院での初診の取り扱いについて】
当院は現在、予約の患者さんで1~2週間先まで完全に埋まっている状況になっております。
急患の場合は、コロナ禍も相まって、可能な限りお待ちいただかないよう予約の患者さんの治療内容等を考慮し、日時を指定させていただいております。
従って、どうしても「この曜日のこの時間で」などの希望される日時が限定的な場合は通常の予約をお願いしております。
皆様お仕事や私生活がお忙しい中、1~2週間お待ちいただいた上で予約を取っていただいております。
無理に初診の方の希望に対応することで予約の患者様の治療に影響を及ぼすことは、当院が目標としている「公平公正な医療の提供」には反してしまうと考えております。
痛みがあるなどの急を要する場合は、通常の予約枠ではないため希望の時間のご案内ができかねることを予めご了承ください。
さて、本日の症例写真もダイレクトボンディングについてです。
今回は数年前に当院でダイレクトボンディングを行った患者さんです。
同じ歯ではありますが、別の部分が虫歯になったので同様に治療しました。
では、医療法(医療広告ガイドライン)の兼ね合いで毎回書いている内容をまた今回も記載したいと思います。
ダイレクトボンディングのメリットは
・基本的には歯を最も多く残すことが出来る治療法である。
・もし一部欠けたりしても、そこだけ治療しなおすことが出来る。
・歯よりも少し柔らかい(反対側の歯が割れたりはしない)。
・金属を使用しないため、金属アレルギーは生じない。
です。
逆にデメリットとしては、
・材質的に経年劣化を起こしてくるので、後々磨き残しが溜まりやすくなる。
・強度が弱いため、割れたり欠けたりすることがある。
・保険が使えない為、高額(当院では4万円+税です)。
材質的なデメリットは非常に大きいのですが、それを考えても患者さんにお勧めできるメリットは、被せ物になるのを、5年でも10年でも先に伸ばすことが出来るという点です。
1回治療したところは必ずいつか駄目になりますが、その時に歯が残っていれば、ひょっとするとまたダイレクトボンディングで対処できるかもしれませんからね。
私は良く「歯の治療は回数券だ」と患者さんにお伝えしています。
20枚綴りの回数券を治療の度に消費していくとします。
ダイレクトボンディングは1~2枚程度しか消費しない治療法ですが、部分的な金属の詰め物は一気に3~5枚くらい消費するようなイメージで、被せ物についてはは5~10枚消費するようなイメージです。
(先生によってはインレーの段階で10枚くらい一気に行くかもしれません・・・。)
例えばダイレクトボンディングが1回の治療で5年持ったとして…クラウンと同様の5枚消費するには25年かかります。
逆にクラウンを25年以上持たせることが出来るのなら良いのかもしれませんが…それが出来る!と自信満々に答えられる歯科医師はまずいないでしょう。
もちろん先生によって考え方は違いますし、価値観も違うため患者さんがどこの医院を選び、何の材料を選ぶかは人それぞれですが…
少なくとも私が同じような状態で治療を受ける際には可能な限りはダイレクトボンディングで治療してもらいたいですね。
で、ダイレクトボンディングでは無理というサイズになってきたら、今度は被せ物(クラウン)に移行するという流れを希望すると思ってます。
また、治療とは削る量が増えれば増えるだけその難易度も増していきます。それに伴って、持つ期間としても短くなっていってしまいます。
だからこそ小さいサイズの虫歯の時点で、ダイレクトボンディングで治療する意義は非常に大きいんです。
当院は保険医療機関ですので、非常に小さい虫歯の場合は保険適用内の「コンポジットレジン修復」にて治療を行っていますので、もし精度や持ちに拘りがあるのであれば、最初から「ダイレクトボンディングを希望」とお伝えください。
先日来院されてから自費診療を希望された方がいらっしゃったのですが、保険と自費の治療ではその予約時間が大きく異なりますので、本数が制限されてしまい、来院回数が増えてしまうことがあります。
ですので、次回予約の際には「自費診療希望である旨を伝えておいていただければ幸いです。」
さて。
では症例写真に移ります。
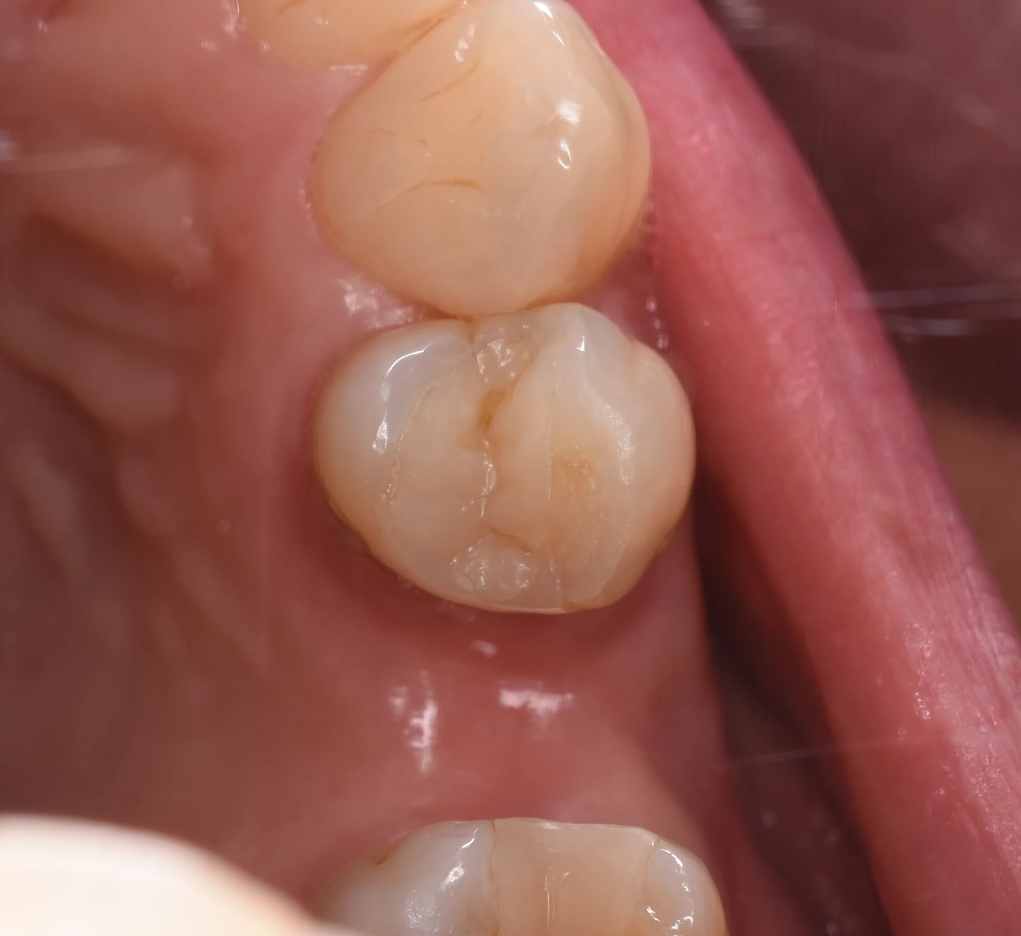
まずは4年前と同じアングルで撮影したのをアップします。

やはり術後直後に比べると劣化のため色のギャップがわかりやすくなっていますね。
とはいえ、形態もしっかりと残っていますし、引っかかりなどがあるわけではないです。
噛み合わせの変化と共にジリジリすり減っていってくれているので、歯に対してのダメージも少なく済んでいますね。
そして術前です。

歯の内側をミラーで撮影したものです。
詰め物と歯の境目に小さな穴が開いているのがわかるかと思います。
ここは4年前に治療した時点で同様に白いというかグレーな感じの色になっていたのですが、こういった感じで穴にはなっていなかったので削らずに温存していた部分になります。
それが4年越しで穴が開いてきてしまったので治療介入に至ったという感じですね。
そしてこの歯は神経の治療をした歯だったので、根の先に膿が再発していないかを知る必要がありました。
そのため部分的な小さなレントゲンで撮影して診査したのがこちらです。

(ちょっと画像が暗かったのでこのHPの画像編集で編集して明るくしてみましたが、割といいですね・・・(●´ω`●))
4年前にあった根の先の膿があった黒い部分が完全に消失し、神経の治療がうまく行っているのが分かりましたので、今回は神経の治療には入らないことにしました。
またメリットの部分でお伝えしていますが、ダイレクトボンディングは
もし一部欠けたりしても、そこだけ治療しなおすことが出来る。
素材でもあります。
補修修復というのですが、通常の金属の詰め物・セラミックの詰め物の場合は接着しないためそれらを行うことが出来ず、再度歯を大きく削り直す必要が出てきます。
そういう点でも歯の保存において非常に有利なんですよね。
そして、虫歯の部分のみを除去し切ったのがこちらになります。

今回は歯が削れていない部分も含め、歯が脆くなっているところも除去しました。
昔と今では少し考え方が変わってますので、こういう変化になりますね。
多分この初回の治療を行った当時であればまたこの穴が開いていた部分だけを治療していたと思います。
そして詰め終わったのがこちらです。

段差もなく綺麗に詰め終わることができましたヽ(゚∀゚)ノ パッ☆
4年越しの治療になりましたが、前の治療も状態としては良好ですので、今後も長く使っていけると思います!
4年前との比較がこちらです。

カメラが変わっているので全く色合いが違っていますが、ほぼほぼ良好な変化を辿っていると思います。
この時にも説明しましたが、神経の治療後は基本的には被せ物になるのが普通です。
ただし条件が合えばこのように歯の多くを温存したまま詰めて終了させることも可能です。
一度削った歯は元に戻りませんから、少しでも温存して長く使えるというのはやはりメリットとして大きいと思いますね。
今後も長く使っていただければと思います!