そういえば、坂寄歯科医院で現在実際に行っているダイレクトボンディング(臼歯)の症例写真を載せていなかったなと思いましたので、載せていきたいと思います。
ひとまず、いつも通り
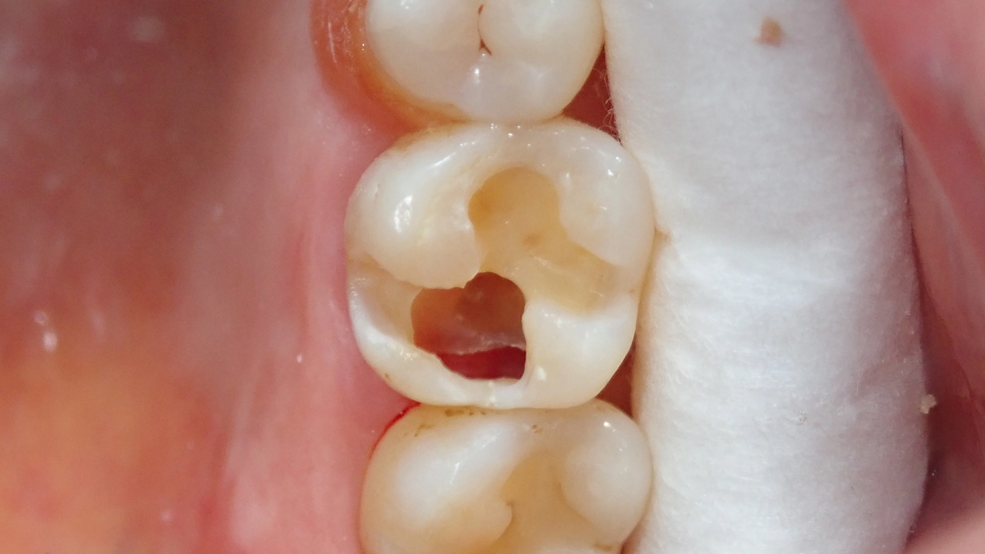
術前です。

白い部分は仮封材 (いわゆる仮の蓋)が入っており、虫歯は既に取り切っている状況です。
私はよく「虫歯だけ取って、次回最終的なものの型取り・詰める」といった処置をします。
専門用語だと「覆罩」と呼ばれる処置です。
理由としては
・一気に型取りまで行って、もし痛みが出たりすると困る
・深い虫歯であれば連続で処置するよりも一度神経を休憩させてから処置した方が、神経を取らずに済むことが多い
・結果として歯を残せる
・複数歯の治療をまとめてやる時は、覆罩→型取り→Setとした方が来院回数が少なくて済む
・・・などです。
今回の場合は1本だけですが、あまりに虫歯が大きく深かったため、覆罩を行いました。
そして、仮封材を除去した画像がこちらです。

実際、画像の下半分は中身が殆どない状態です。
神経もうっすら見えており、歯茎が虫歯の穴から見えている状態。
本当にギリギリの状態だったんです・・・。
ちなみに、これ、従来の治療(メタルインレー・セラミックインレー)で治そうとすると・・・

こんな感じで、歯のほとんどを削り取る羽目になります。
今回は、
・歯の表層をうまく残すことが出来た
・歯茎と歯の間に入れる器具が綺麗に入れることが出来、確実に処置を行うことが出来た
・重要な部分の歯は残せているので、強度的にも問題なし
・インレーにすると歯を大きく失ってしまう事となる
ということで、
自費のセラミックインレーや保険のメタルインレーよりも予後が良く、予知性の高い治療と考えられるダイレクトボンディングを治療法の一つとして提示しました。
ご本人からも「なるべく歯を残してほしい」との要望がありましたので、表題の通り、ダイレクトボンディングで行うこととなりました。
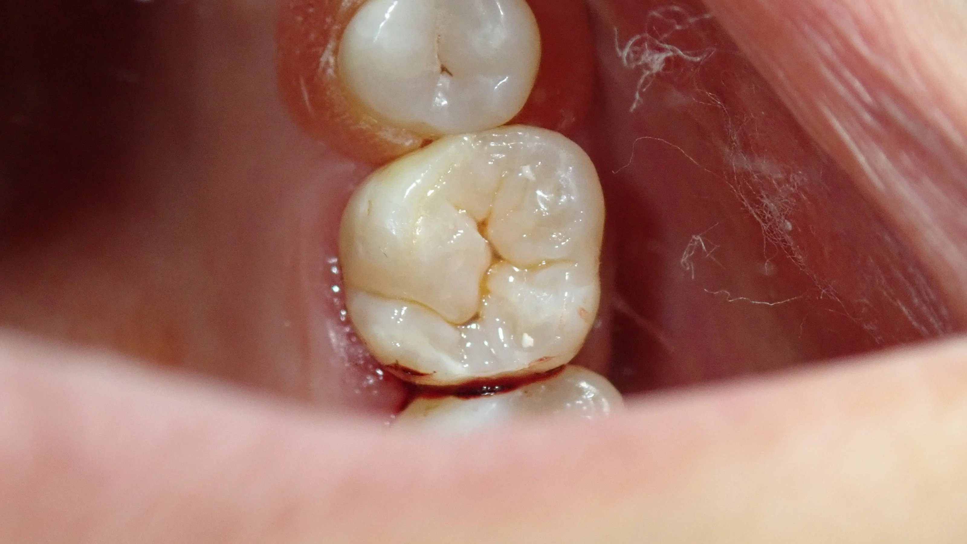
と、いう訳で、噛み合わせの治療後、研磨まで終わった画像がこちらです。

歯を強固に乾燥させていたため、最初に比べると若干色合いが変わってしまっています。
その為、詰めたところが少し浮いているように感じられるかもしれませんが、再度水分を吸ったら1週間くらいで色は馴染んできます。
歯の溝の部分の色を再現することを「ステイニング」と言いますが、これを行うと歯に立体感が出て、より自然な歯に仕上がります。
フロスでも引っかかるところは皆無ですので、十分に長持ちさせることが出来ると思います。
是非、日頃のケアはもちろん、食生活も気を付けていただいて、長持ちさせていただきたいと思います(`・ω・´)!
#ダイレクトボンディング #虫歯の治療 #自費診療