こんにちは。
なんか、今度はイソジンが店頭から消えているようですね。
個人的に、イソジンを使ってうがいしたところでそれが本当にコロナウイルス感染予防になるかは疑問ですが・・・。
いえ、消毒効果はあると思うんですよ。でも、それでうがいして本当に予防できるの?
・・・と。
感染症内科の先生などはイソジンうがいそのものを止めた方が良いとおっしゃっている方も居ますし・・・私も細菌叢を考えるとあまりお勧めはしないです。
「うがいは水で」派ですね。
私は家族含め、行う予定はないですし、当院の感染対策上でも不要な物なので特に問題はないんですが・・・Ope室などでは今でもまだ使用したかと思うのでそこら辺が在庫不足にならないように祈るだけですね・・・。
必要なOpeが出来ずに手遅れになる・・・なんてことにならなければいいんですが・・・。
さて、本日は保険適用の白い詰め物、コンポジットレジン充填です。
広く多くの医院にて当たり前に行われているレジン充填ですが、実は非常に術者依存の治療法になっています。
というのも、
・そもそもの適用範囲が歯科医師の技術・考え方によって違う
・詰めたとの予後(どれだけ持つか)も歯科医師によって違う
治療方法なんですね。
その結果、
A歯科医師には「これはレジン充填でも出来る!」
と言われても、
B歯科医師では「これはレジン充填では無理だ!」
と言われてしまうことも多々あります。
私は非常にレジン充填の適用範囲が広いらしく、よく他の歯科医師の方からはこれ良く治療出来たね・・・
と言われることが多々あります。
が、実際、私の適用範囲は世界Topクラスの方々に比べるとまだまだ狭いので、今後更に治療技術が向上することで更に適用範囲が広げることが出来ると考えています。
現在、日本でもメタルフリー治療を希望する患者さんが圧倒的に多く、「金属が入っているのが恥ずかしい」と考える方が増えてきているように感じます。
保険制度でも金属をなるべく使わない治療にシフトしていっていますので、レジン充填の技術向上を目指すことは今後の歯科医師の王道になってくると思っています。
さて、また前置きが長くなりましたが・・・
症例の方に移りたいと思います。
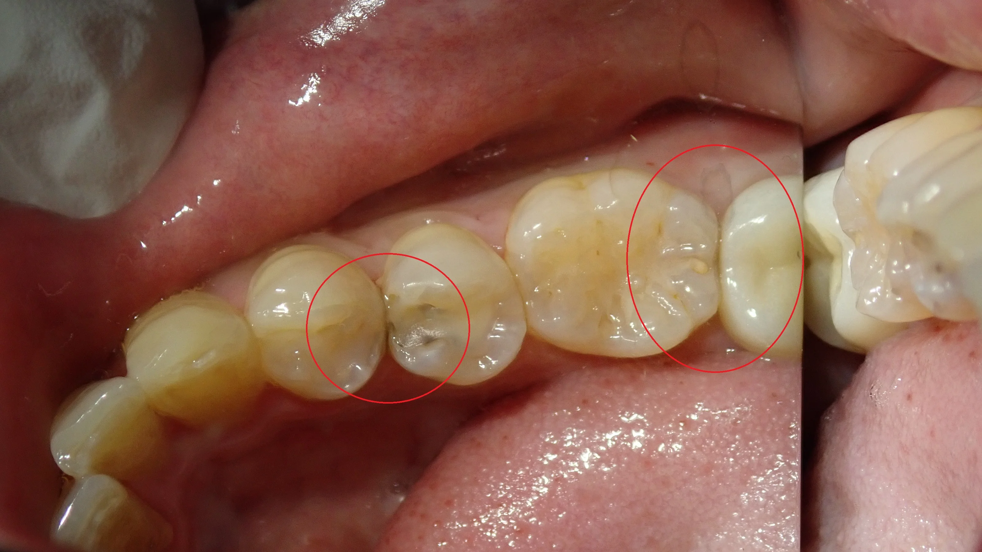
まずは、術前の状態です。

ぱっと見では分かりづらいかもしれませんが、赤丸の場所に虫歯があります。
結構大きく、深い感じですね。
非常に適合が悪い詰め物が入っているので、そのせいで磨きのこしが溜まりやすくなって、結果として虫歯になってしまったと考えられます。
軽く古い詰め物を取ってみたのがこちらの写真です。

ここまで行くと真っ黒になっているのが分かりやすいですね・・・。
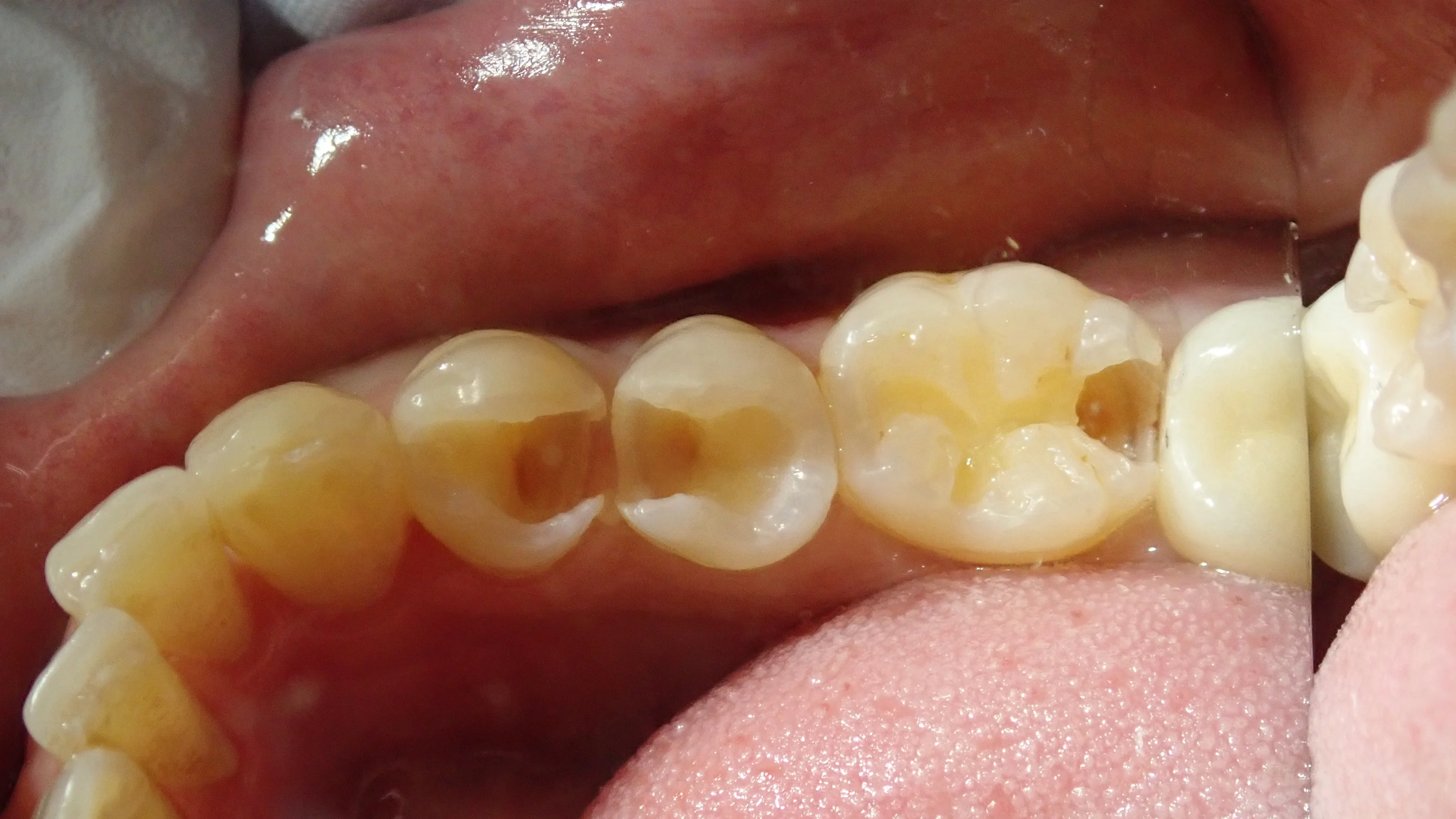
取りきったのがこちらの写真です。

手前二つは非常に大きく、神経ギリギリまで虫歯が進行していました。
着色が残っていますが、ここには色がついているだけで細菌は存在しない部分になります。
ここを取りきると神経への大きなダメージにつながるので、取ってはいけない部分でもありますね。
あまりにサイズが大きく、歯の半分はもうない状態で、表面のエナメル質という部分のみが残存している状態になります。
そのため、詰めるときの収縮(重合収縮といいます。)でエナメル質が割れないように、その収縮量をコントロールしつつ詰める必要があります。
大きな虫歯を詰めるときには、そこら辺の知識と感覚が必要になってくるので、ここら辺も歯科医師による差につながる部分でもありますね。
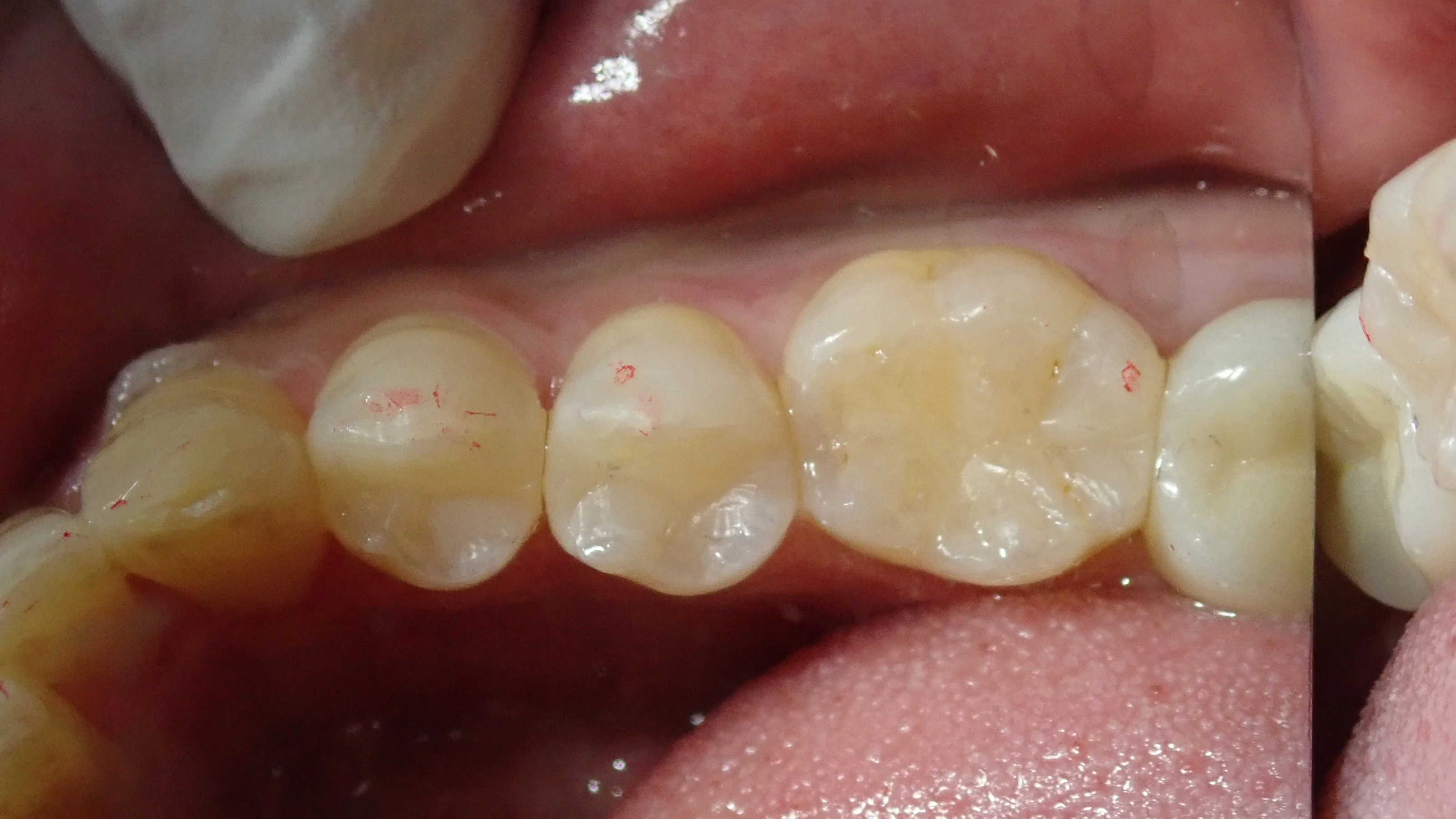
で、最終的に詰め終わったのがこちらです。

赤い部分はかみ合わせが当たる所なのですが、ここに詰め物と歯のラインなどが来なければ特に問題はありません。
(まぁこれは金属でも一緒ですが・・・・)
適合も良く、フロスなどの引っ掛かりも特になかったので、あとはTCHなどの力のトラブルがなければ十分に持たせられると思います。
ただ、これは通常保険診療では金属の詰め物・被せ物になるレベルの虫歯ですので、あまり参考にはしないでくださいね。
上の方でも書きましたが、出来る出来ないは歯科医師によって違いますし、得意不得意も歯科医師によって変わります。
こんな感じで治して!って担当医に希望して無理矢理やってもらっても良好な結果には結び付きません。
基本的には担当医の得意とする治療が最も予後が良いです。
逆になるべく白い詰め物でやってほしいと思っているのであれば、レジンの得意な先生を探すのが一番ですね。
誰に診てもらうかで、10年20年後のお口の中の状態がガラッと変わりますから、歯科医院選びは本当に大事で、本当に難しいと思います。
#保険診療,#虫歯の治療,#コンポジットレジン充填