こんにちは。
お盆休みに実家に帰省しました。
久しぶりに兄弟全員と、その子供達が集まり、非常に賑やかな生活でした。
さて、本日は、保険適用の治療のコンポジットレジンの症例写真をアップしたいと思います。
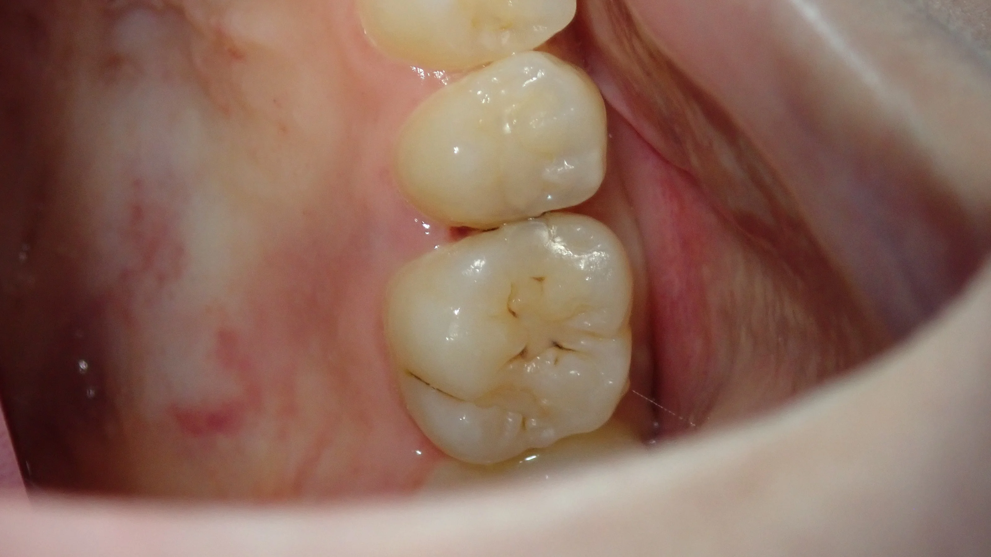
こちらが術前の写真です。

パッと見はどこが虫歯か分からないかもしれませんが・・・
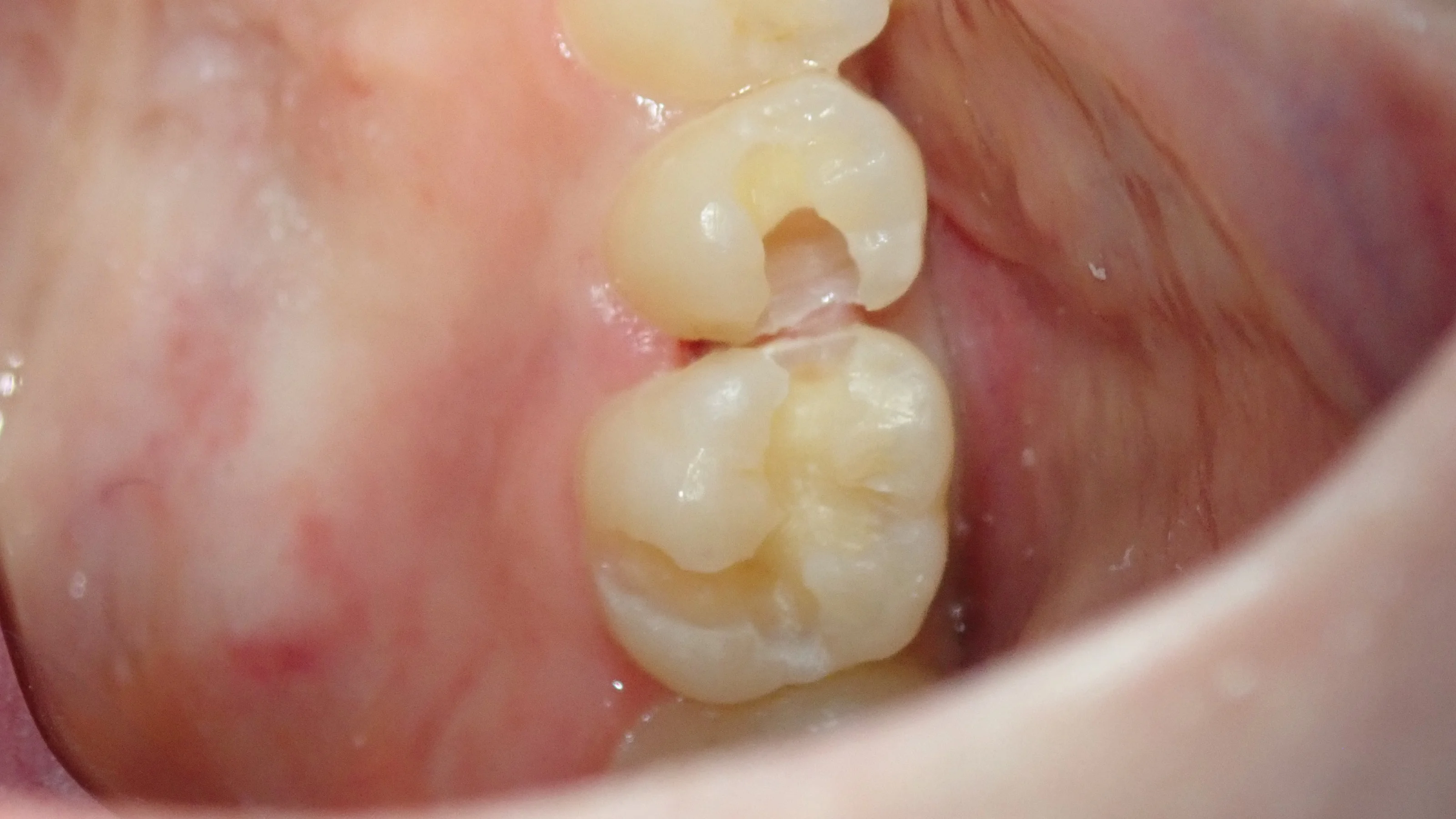
少し削ってみると・・・

こんな感じで中で大きく虫歯になっている状態でした(-_-;)
もちろんレントゲンで確実に虫歯があることを確認した上で処置に入っているのですが・・・
想像よりも深く虫歯が入り込んでしまっていました。
レントゲンは肉眼では確認できない部分を診ることが出来る非常に優れた検査法の一つですが・・・
CTと違い平面でしか診えない為、実際にやってみると予想よりも大きかったり小さかったりすることがあります。
虫歯を除去しきった状態がこちら。

歯との間のみならず、噛む面の方まで虫歯になってしまっていました。
そして、コンポジットレジン充填後です。

フロスなどの引っかかりもなく綺麗に詰めることが出来ましたヽ(゚∀゚)ノ パッ☆
今回のケースは結構虫歯が大きくなってしまっている状態でした。
・・・というよりも、虫歯の取り残しがあり、そこが進んでしまっていました・・・。
実は取り残しというものは虫歯の治療ではよく見かけます・・・。
あとは適合が悪く、フロスが引っかかったりするなどですね。
原因は様々ですが、その多くは担当した歯科医が「見えない」「気づけない」のが非常に大きな要因です。
(わざと雑な治療をするような歯科医はほとんど居ません。)
治療の精度が低ければ低いほど、結局治療した歯は長持ちはしなくなります。
その結果、更に多くの歯を削るため、無駄に歯を失う原因になってしまいます。
特にコンポジットレジンというものは歯科医によって治療成功率が大きく変わってくる治療法の一つですので、そういった意味でも歯科医院選びというものは非常に大切になってきます。
と同時に歯科医院探しは非常に難しいものなんですけどね・・・(^_^;)
#虫歯の治療 #コンポジットレジン #保険診療