奥2本のダイレクトボンディング

こんにちは。

 

最近の気温は本当に殺人的ですね・・・。

 

熱中症には十分に気を付けて、水分補給はしっかりと行うようにしましょうね。

麦茶がオススメらしいですよ。

 

 

本日は

奥から2番目のダイレクトボンディングです。

 

ダイレクトボンディングの

メリットは

・基本的には歯を最も多く残すことが出来る治療法である。

・もし一部欠けたりしても、そこだけ治療しなおすことが出来る。

・歯よりも少し柔らかい(反対側の歯が割れたりはしない)

・金属を使用しないため、金属アレルギーは生じない。

 

ってところですね。

逆にデメリットとしては、

・材質的に経年劣化を起こしてくるので、後々磨き残しが溜まりやすくなる

・強度が弱いため、割れたり欠けたりすることがある。

・保険が使えない為、高額(当院では3万円+税です)

 

というのがあります。

 

材質的なデメリットは非常に大きい所ではありますが・・・

被せ物になるのが、5年でも10年でも先に伸ばすことが出来るというのは本当に何よりも大きなメリットなんですよね。

 

なにせ一回治療したところは必ずいつか駄目になりますが、

この時に歯がどれだけ残っているかで選べる選択肢が大きく変わってくるんですから。

 

そのため、治療のステージが先に進むのを遅らせることが出来るこの治療法は健康寿命延伸には必要不可欠であると思います。

 

事実、世界的にはダイレクトボンディングでの治療はどんどん広がっており、材質の進化も激しく起こっています。

 

金属での修復が消されていくのが近い未来になってきそうですね。

 

うちに来て、ダイレクトボンディングを希望される方の多くは歯科医療従事者ですので、やはり今後もこの流れは止まらないと思っています。

 

 

では、症例の方に移ります。

こちらの方も、歯科医療従事者の方ですね。(本人の意向で職業はボカして頂きます

。)

奥2本のダイレクトボンディング|坂寄歯科医院(取手市藤代)

レントゲンで見ると奥2本が非常に大きな虫歯になってしまっています。

神経へのダメージも十分に考えられる状況でしたので、2日に分けて1本ずつ処置に入りました。

 

まずは1本目。

奥の方ですが・・・・

 

金属取る前の写真とかを忘れてました・・・。

歯の表面処理をしている時に気付いてそこから取りました。

なので、

 

詰める前。

奥2本のダイレクトボンディング|坂寄歯科医院(取手市藤代) - 画像2

 

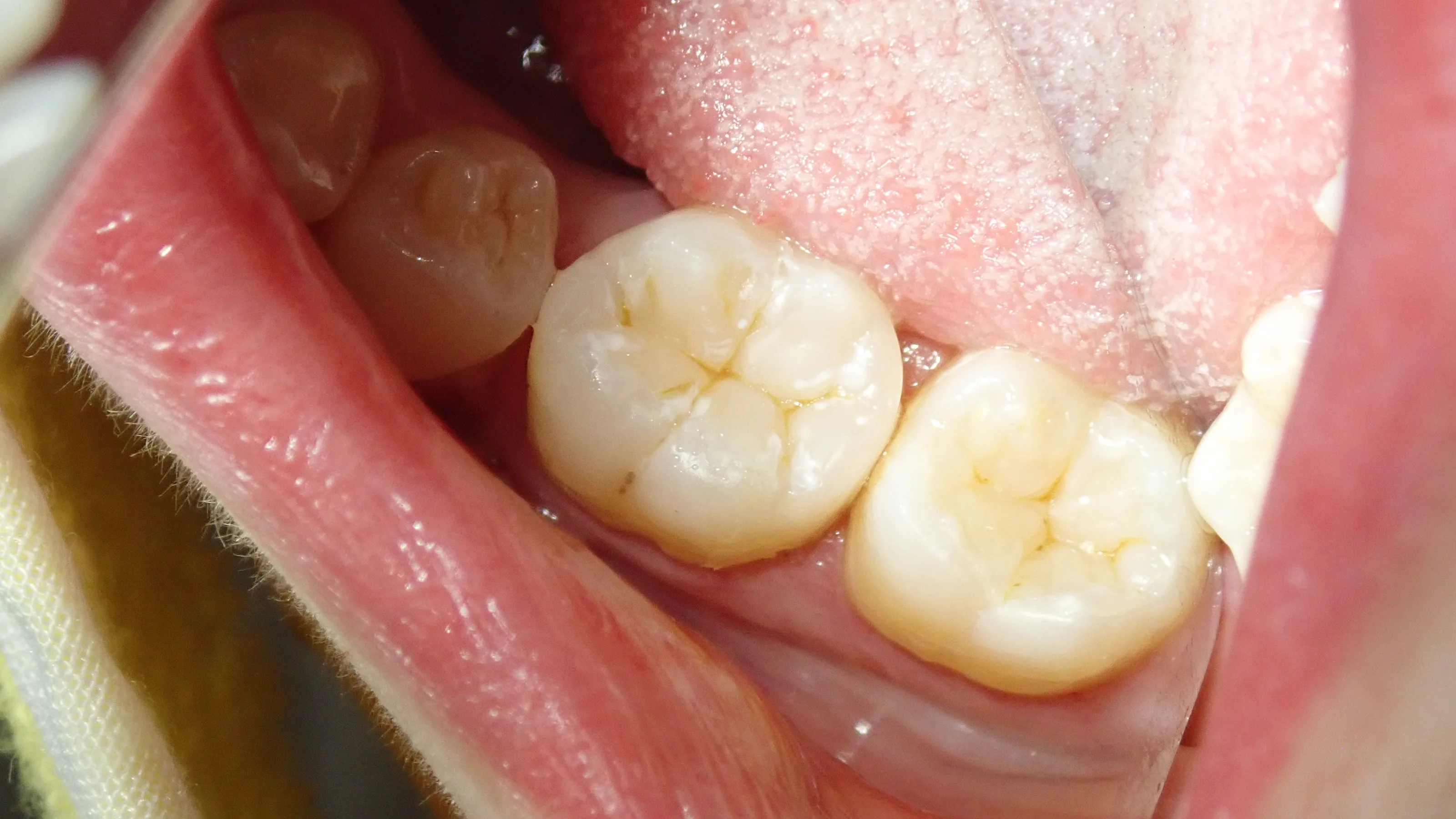
詰めた後。

奥2本のダイレクトボンディング|坂寄歯科医院(取手市藤代) - 画像3

 

って感じになっちゃいました・・・。

 

そして別日に症状的には問題なかったため、手前の歯に入りました。

 

術前がこちら

奥2本のダイレクトボンディング|坂寄歯科医院(取手市藤代) - 画像4

手前の歯との間は矯正の後戻りによって隙間が開いている状況になっています。

 

 

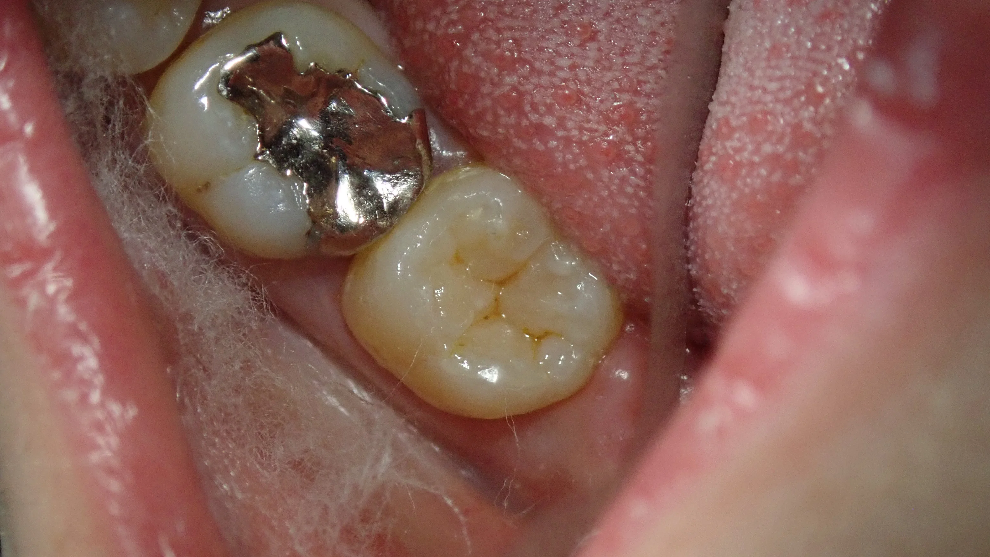
金属を軽くとったのがこちらですね。

奥2本のダイレクトボンディング|坂寄歯科医院(取手市藤代) - 画像5

 

 

で、完全に虫歯を取り切ったらこうなりました。

奥2本のダイレクトボンディング|坂寄歯科医院(取手市藤代) - 画像6

 

 

後ろの歯との間が非常に深くなっています。

手前の歯との間についても、虫歯だったため、歯が少なくなってしまいました。

 

 

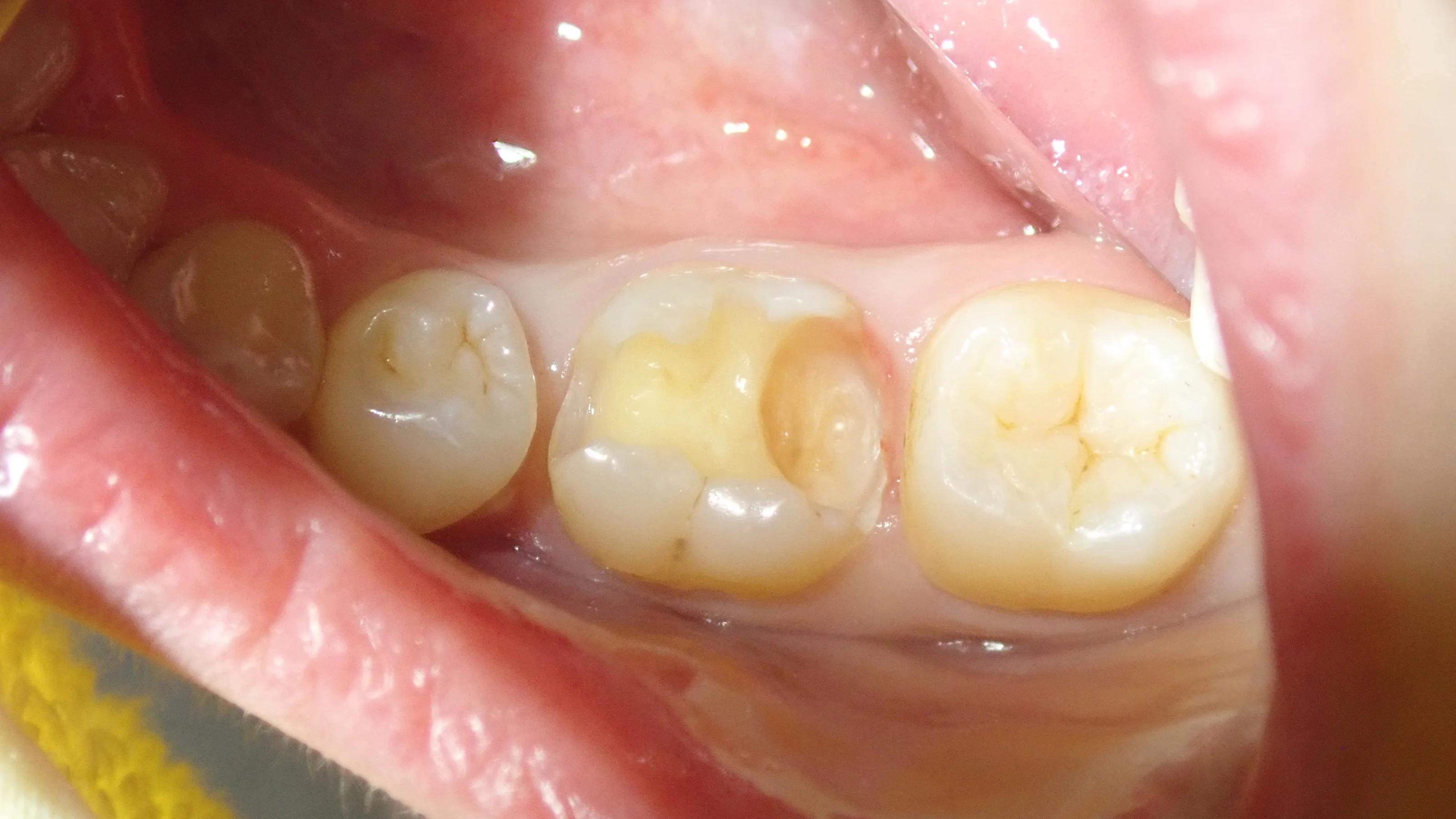
そして、詰め終わったのがこちら

奥2本のダイレクトボンディング|坂寄歯科医院(取手市藤代) - 画像7

 

スペースが非常に大きかったため、半ば無理矢理スペースを埋めました。

歯科医療従事者の方なので、ブラッシングなどはしっかりと行ってもらえるでしょう・・・!

 

 

終わった後の写真を見て、非常に喜んでいただけて良かったです!

 

しっかりと歯磨き・フロスなどを頑張って、なるべく長持ちさせていただきたいですね!

 

#ダイレクトボンディング,#自費診療,#虫歯の治療

← ブログ一覧に戻る