こんにちは。
なんだか、HPのブログ機能が一時的に使えなくなってしまっており、更新できませんでした。
無事に更新できるようになりましたので、投稿を再開していきたいと思います。
また緊急事態宣言が出されてしまいましたね・・・。
現在複数名の歯科医師の方からセミナーの依頼を頂いているのですが、それらも延期することとなりました・・・。
非常に残念ですが、セミナーまで日数的に余裕が出来たので、もう少しスライドの枚数を増やしていきたいと思います。
さて。
前回も書きましたが、ここ最近遠方からの初診の方や歯科医療従事者からの問い合わせが非常に増えております。初診数増加に伴い、急患対応も多くなってまいりましたので、再度ご案内させていただきます。
【当院での初診の取り扱いについて】
当院は現在、予約の患者さんで2~3週間先まで完全に埋まっている状況になっております。
急患の場合は、コロナ渦も相まって、可能な限りお待ちいただかないよう予約の患者さんの治療内容等を考慮し、日時を指定させていただいております。
従って、どうしても「この曜日のこの時間で」などの希望される日時が限定的な場合は通常の予約をお願いしております。
皆様お仕事や私生活がお忙しい中、2~3週間お待ちいただいた上で予約を取っていただいております。
無理に初診の方の希望に対応することで予約の患者様の治療に影響を及ぼすことは、当院が目標としている「公平公正な医療の提供」には反してしまうと考えております。
痛みがあるなどの急を要する場合は、通常の予約枠ではないため希望の時間のご案内ができかねることを予めご了承ください。
さて、では本日の症例写真は前回・前々回と続き、全体的なダイレクトボンディングについてです。
上下左右に分かれて複数本をダイレクトボンディングでの治療を希望されて2つほど隣の県から来院された方です。
じゃ、医療法の兼ね合いで毎回書いている内容をまた今回も記載したいと思います。
ダイレクトボンディングのメリットは
・基本的には歯を最も多く残すことが出来る治療法である。
・もし一部欠けたりしても、そこだけ治療しなおすことが出来る。
・歯よりも少し柔らかい(反対側の歯が割れたりはしない)
・金属を使用しないため、金属アレルギーは生じない。
です。
逆にデメリットとしては、
・材質的に経年劣化を起こしてくるので、後々磨き残しが溜まりやすくなる
・強度が弱いため、割れたり欠けたりすることがある。
・保険が使えない為、高額(当院では4万円+税です)
材質的なデメリットは非常に大きいんですが、それを考えても患者さんにお勧めできるメリットは、被せ物になるのを、5年でも10年でも先に伸ばすことが出来るという点です。
一回治療したところは必ずいつか駄目になりますが、その時に歯が残っていれば、ひょっとするとまたダイレクトボンディングで対処できるかもしれませんからね。
私は良く「歯の治療は回数券だ」と患者さんにお伝えしています。
20枚綴りの回数券を治療の度に消費していくとします。
ダイレクトボンディングは1~2枚程度しか消費しない治療法ですが、部分的な金属の詰め物は一気に3~5枚くらい消費するようなイメージで、被せ物についてはは5~10枚消費するようなイメージです。
(先生によってはインレーの段階で10枚くらい一気に行くかもしれません・・・。)
例えばダイレクトボンディングが1回の治療で5年持ったとして…クラウンと同様の5枚消費するには25年かかります。
逆にクラウンを25年以上持たせることが出来るのなら良いのかもしれませんが…それが出来る!と自信満々に答えられる歯科医師はまずいないでしょう。
もちろん先生によって考え方は違いますし、価値観も違うため患者さんがどこの医院を選び、何の材料を選ぶかは人それぞれですが…
少なくとも私が同じような状態で治療を受ける際には可能な限りはダイレクトボンディングで治療してもらいたいですね。
で、ダイレクトボンディングでは無理というサイズになってきたら、今度は被せ物(クラウン)に移行するという流れを希望すると思ってます。
また、治療とは削る量が増えれば増えるだけその難易度も増していきます。それに伴って、持つ期間としても短くなっていってしまいます。
だからこそ小さいサイズの虫歯の時点で、ダイレクトボンディングで治療する意義は非常に大きいんです。
当院は保険医療機関ですので、非常に小さい虫歯の場合は保険適用内の「コンポジットレジン修復」にて治療を行っていますので、もし精度や持ちに拘りがあるのであれば、最初から「ダイレクトボンディングを希望」とお伝えください。
さて、では写真の方に移らせていただきます。
まずは術前です。

今回行ったのは、画面上で右側3つの歯です。
奥二つの金属の詰め物の下に虫歯があったのと・・・
3~4カ月ほど前に他院にて治療されたセラミックInの適合が悪かったためです。
金属とセラミックを外したのがこちらです。

右2本はそれなりに昔に治療した金属だったので、そこそこ虫歯になってしまっている状況でしたが・・・
一番左側のセラミックで治療されていた部分に関しては形を整えるために入れている白い部分の周りに大きく虫歯が取り残されているのが分かる状況でした・・・。
一時的に虫歯を残して仮に封鎖するAIPCという治療法があるのですが、今回入れられているセラミックは最終的なものでしたので、恐らく純粋な取り残しになってしまっていたのだと思います。
歯科医師も人間である以上、どうしてもこういったことは起こり得ますので、
「この人でダメなら仕方ない」
と思えるような歯科医師を見つけ、そこを受診できると良いですね。
では、虫歯を取りきった写真に移ります。
それがこちらですね。

本来の歯の色が綺麗に出たのが分かるかと思います。
歯の着色部分については取る取らない先生の考え方によって変わってくるのですが・・・
私は基本的には取りきれるなら取りきるべきという考えです。
というのも、着色部分は接着力が優位に落ちてしまうというデータもあるので、それに準じて取れるだけ取るようなスタイルに落ち着いている感じですね。
一番右側の歯の端っこに着色が残っていますが、これについては内面に虫歯は出来ておらず、本当に表層のみの着色でしたので、予後に影響がないと判断しました。
この部分の歯が残っているかどうかで、今後この歯に対する破折のリスクも変わってきますので、見た目の為だけに取るのはもったいないと思いました!
そして、詰め終わたのがこちらの写真です。

長時間の処置だったため、乾燥しており、詰めた部分が浮いているような感じになっていますが、1週間もすると歯に水分が戻り、違和感が無くなってきます。
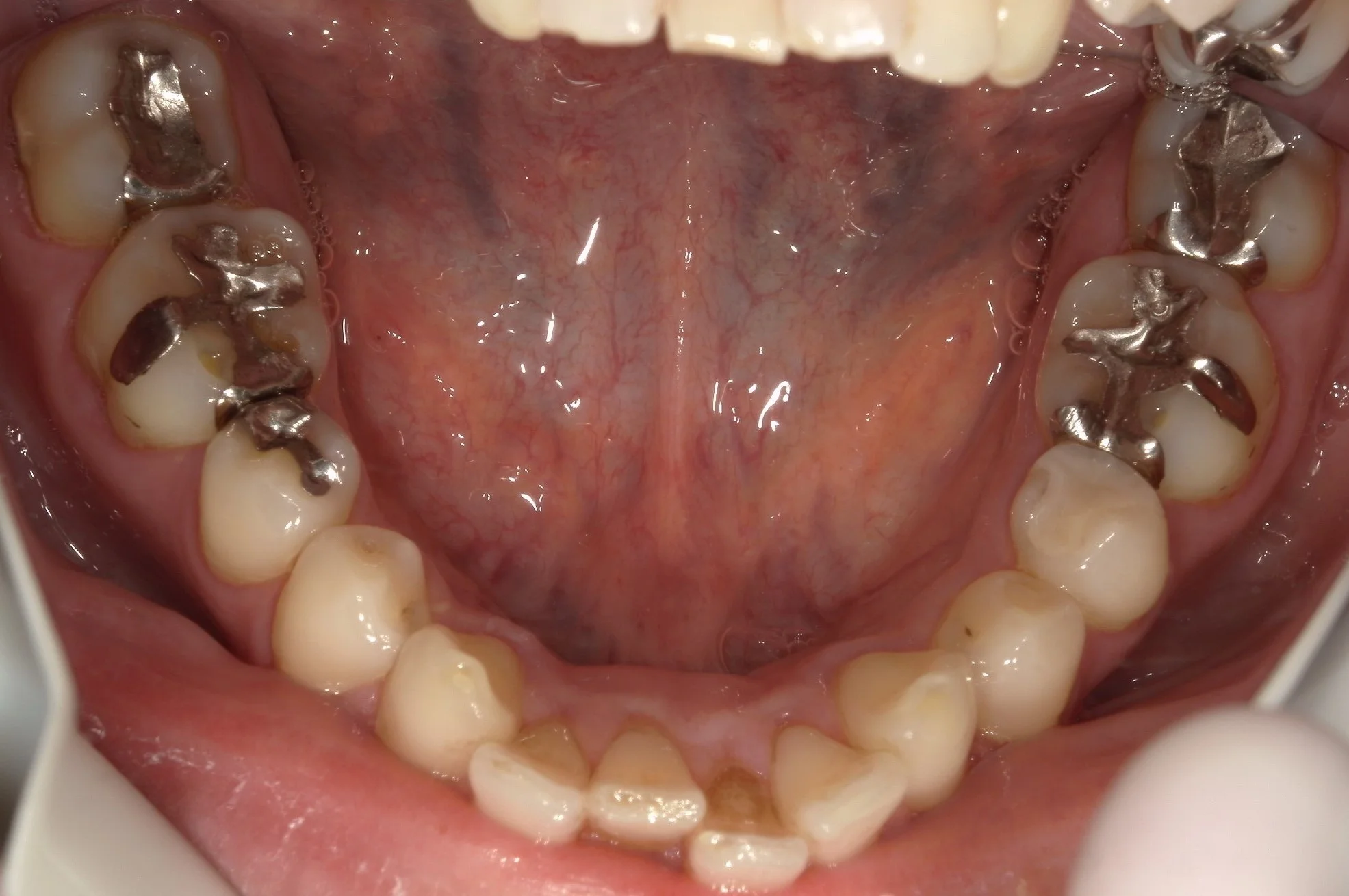
術前の全体の写真がこちらです。

で、術後がこちら。

下の歯は2回に分けて治療しました。
2回で全ての金属が無くなったので、患者さんは非常に喜んでくれましたヽ(゚∀゚)ノ パッ☆
長く使えると良いですね!
遠方から、長時間の通院と治療、お疲れさまでした!
定期健診も当院に通われるとのことですので、今後ともよろしくお願いいたします。